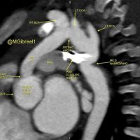
Perfusfind S.L.
[gallery ids="16672,16675,16678,16681"] Mohamed Gibreel , FEBR (Fellowship of Egyptian Board of Radiology ) Cardiac imaging consultant at Aswan heart center -Magdi Yacoub Foundation , Egypt
0
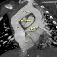
Perfusfind S.L.
[gallery ids="16664"] Mohamed Gibreel , FEBR (Fellowship of Egyptian Board of Radiology ) Cardiac imaging consultant at Aswan heart center -Magdi Yacoub Foundation , Egypt
0
Perfusfind S.L.
19m baby post trans-catheter PDA closure. [gallery ids="16649,16652"] Echo >>aliasing across LPA. these two images can tell alot Mohamed Gibreel , FEBR (Fellowship of Egyptian Board of Radiology ) Cardiac..
0



