Such valvular pulmonary atresia with confluent PAs. Sagittal , coronal & axial. MBT shunt dependent pulmonary circulation. [gallery ids="20607,20610,20613,20616"] Mohamed Gibreel , FEBR (Fellowship of Egyptian Board of Radiology )..
0RVOT & LVOT obstruction in the same 7 Year child. Overriding aorta aligned more to the RV with subaortic membrane related to LVOT , significant RVOT stenosis [gallery ids="20557"]..
0Neonate with such HLHS Hypoplastic LV, LVOT & AORTA Ductus dependent systemic circulation. [gallery ids="18820,18823"] Mohamed Gibreel , FEBR (Fellowship of Egyptian Board of Radiology ) Cardiac imaging consultant at..
0Patient with tricuspid valve atresia undergoing a Glenn and Fontan procedure. GLENN [gallery ids="18603,18606"] FONTAN [gallery ids="18609,18612"] Dr. Mario Finazzo : General radiologist with more than 20 years ofexperience..
0A 4 year-old child with dilated LV ,,, CT was done >>> ALCAPA Anomalous LCA from PA. Thin Inverted MIP projection Mohamed Gibreel , FEBR (Fellowship of Egyptian Board..
0Atretic coronary venous sinus ostium ( CS) , Total Anomalous Coronary Venous Drainage to LT BCV (TACVD). The middle & great cardiac veins (MCV & GCV) drain into a left..
0TAPVR direct cardiac type to RA in a two week neonate. Mohamed Gibreel , FEBR (Fellowship of Egyptian Board of Radiology ) Cardiac imaging consultant at Aswan heart center..
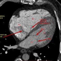
0Cor Triatriatum Sinister Mohamed Gibreel , FEBR (Fellowship of Egyptian Board of Radiology ) Cardiac imaging consultant at Aswan heart center -Magdi Yacoub Foundation , Egypt ..
01 year TOF with pericardial agenesis CT: signs of pericardial agenesis 1) Extreme levocardia. 2) Interposed lung between AO&PA. Thick coronal-reformatted average (mean) projection (X-ray like) >>snoopy sign. [gallery ids="17355,17358,17361,17364"]..
0









