Join Us
×
Sign Up
Candidate
Employer
Circulación extracorporea
Circulation extracorporelle
Extracorporeal circulation
Allow in search & listing
Yes
No
By registering you confirm that you accept the
Terms & Conditions
and
Privacy Policy
Or
Circulación extracorporea
Circulation extracorporelle
Extracorporeal circulation
Allow in search & listing
Yes
No
By registering you confirm that you accept the
Terms & Conditions
and
Privacy Policy
Sign in
×
User Login
Forgot Password?
×
apply for job
FUll Name
*
Email
*
Phone Number
*
Cover Letter
*
Min characters: 10
Max characters: 500
500
characters remaining
Your CV
*
Browse
Suitable files are .doc,docx,rft,pdf & .pdf
Apply Now
Login Here
Forgot Password
×
Login Here
Login Here
Empleo
Trabajos
Perfusionistas
ONGs
Noticias
Últimas noticias
Artículos
Catálogo de productos
Revistas
Formación
Webinars y eventos
Perfusion Masters
Perfusion Education
Guías Clínicas
Centros de referencia y prácticas
CEC
CEC Adult
Rx
Echocardiography
Videos Heart Surgery
Pathology
Electrocardiography
CPB y canulation
CEC Ped
Congenital heart disease
Echocardiography Pediatric
Videos CC
Rx Ped
ECMO
Foro
Perfusfind
Join Us
Sign in
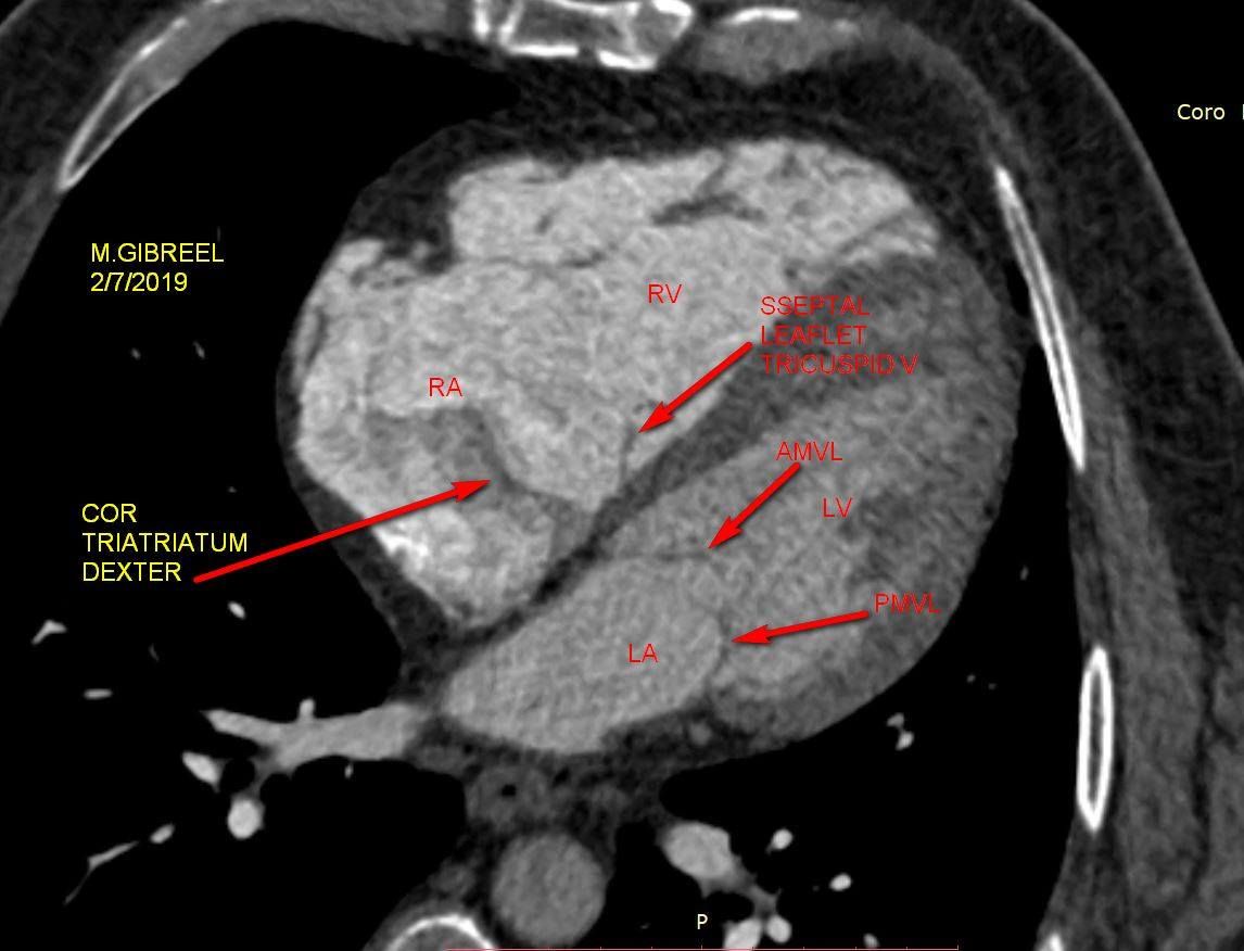
Cor triatriatum sinister & dexter
Home
Rx Ped
Current Page
Perfusfind S.L.
Rx Ped
Jan 1, 1970
0
Cor Triatriatum Sinister
Mohamed Gibreel
, FEBR (Fellowship of Egyptian Board of Radiology ) Cardiac imaging consultant at Aswan heart center -Magdi Yacoub Foundation , Egypt
channel
twitter
Tags
Cor triatriatum sinister
CT
image
mohamed gibreel
Rx ped
We use cookies to provide you with the best possible user experience. By continuing to use our site, you agree to their use.
Learn more
I agree