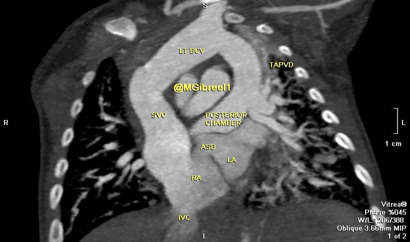
Unobstructed TAPVR supracardiac type

0

channel

twitter