Severe Mitral stenosis and diaphragmatic hernia
- Home
- Dr. Zeraatian
- Current Page

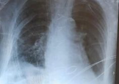
90 years old female with RT sided diaphragmatic hernia and Severe Mitral stenosis undergone simultaneous repair with good course and post op xray.
Dr.Sam Zeraatian Nejad Davani, CEO of rockingham medical research ADKWA center as well as Head of IUMS transplant and cardiovascular surgery department.
We use cookies to provide you with the best possible user experience. By continuing to use our site, you agree to their use. Learn more

