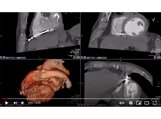
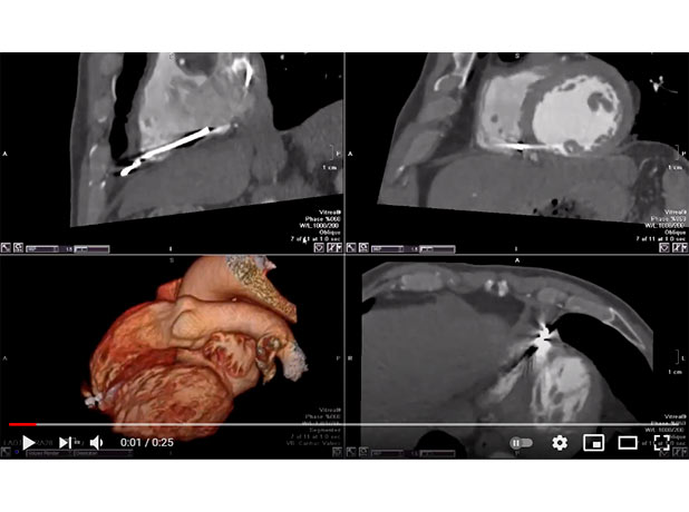
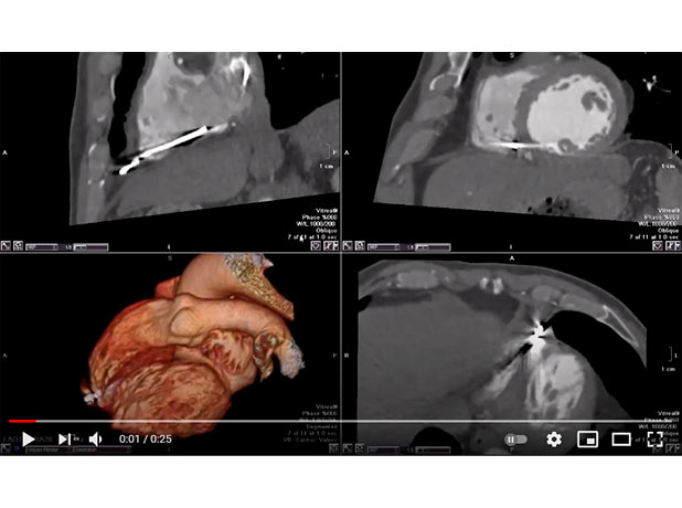
VVI PACEMAKER WIRE PERFORATION

0


 

Mohamed Gibreel , FEBR (Fellowship of Egyptian Board of Radiology ) Cardiac imaging consultant at Aswan heart center -Magdi Yacoub Foundation , Egypt  

channel

twitter