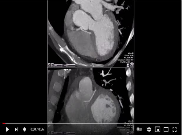
Trans-septal course of the anomalous LMCA from RCA

0

Mohamed Gibreel , FEBR (Fellowship of Egyptian Board of Radiology ) Cardiac imaging consultant at Aswan heart center -Magdi Yacoub Foundation , Egypt  

channel

twitter