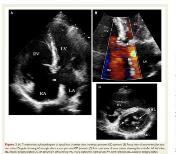
Imaging the adult with simple shunt lesions: position paper from the EACVI and the ESC WG on ACHD. Endorsed by AEPC (Association for European Paediatric and Congenital Cardiology)
- Home
- Echocardiography
- Current Page

Abstract
In 2018, the position paper ‘Imaging the adult with congenital heart disease: a multimodality imaging approach’ was published. The paper highlights, in the first part, the different imaging modalities applied in adult congenital heart disease patients. In the second part, these modalities are discussed more detailed for moderate to complex anatomical defects. Because of the length of the paper, simple lesions were not touched on. However, imaging modalities to use for simple shunt lesions are still poorly known. One is looking for structured recommendations on which they can rely when dealing with an (undiscovered) shunt lesion. This information is lacking for the initial diagnostic process, during repair and at follow-up. Therefore, this paper will focus on atrial septal defect, ventricular septal defect, and persistent arterial duct. Pre-, intra-, and post-procedural imaging techniques will be systematically discussed. This position paper will offer algorithms that might help at a glance. The document is prepared for general cardiologists, trainees, medical students, imagers/technicians to select the most appropriate imaging modality and to detect the requested information for each specific lesion. It might serve as reference to which researchers could refer when setting up a (imaging) study.