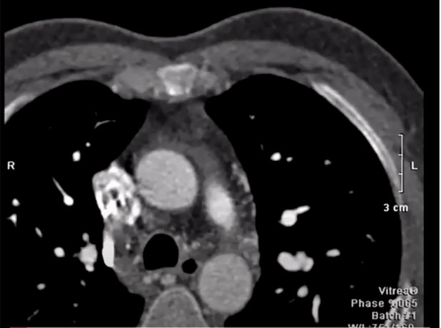
50 year patient with dyspnea sent for MSCT coronary angiography.
Look at the pulmonary arteries
Mohamed Gibreel , FEBR (Fellowship of Egyptian Board of Radiology ) Cardiac imaging consultant at Aswan heart center -Magdi Yacoub Foundation , Egypt
channel
twitter