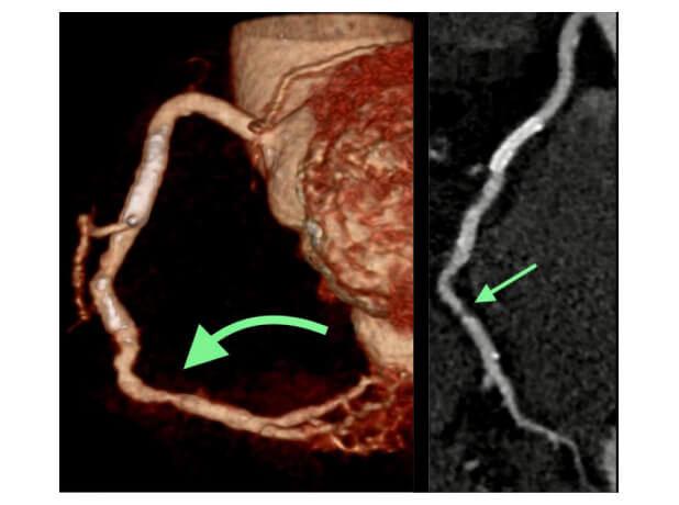
Stent of the intermediate segment and stenosis of the distal segment of the Right Coronary Artery
- Home
- Rx CEC Adult
- Current Page

Coronary CT Angiography shows patent stent of the intermediate segment and high grade stenosis of the distal segment of the Right Coronary Artery.
Dr. Mario Finazzo : General radiologist with more than 20 years ofexperience in the public and private sector. Expertise in cardiovascular, oncological, musculoskeletal and emergency CT, musculoskeletal, body and vascular magnetic resonance, internistic ultrasonography, conventional radiology. I attended many meetings such as RSNA, ECR, ESMRMB, SIRM and courses on cardiovascular CT and MRI in the Netherlands (Leiden, Rotterdam) and Germany (Erlangen). I co-authored 46 publications, 10 book chapters, 5 epubs (EPOS, EURORAD).
We use cookies to provide you with the best possible user experience. By continuing to use our site, you agree to their use. Learn more
